Full Mouth Rehabilitation & Reconstruction
Total Restoration of Function & Aesthetics. For Worn, Damaged, or Missing Teeth.
Total Restoration of Function & Aesthetics. For Worn, Damaged, or Missing Teeth.
From Worn Down Teeth to Full Jaw Implants
*Phased treatment plans and EMI available.
* Consultation with Chief Prosthodontist.

FMR is the most complex treatment in dentistry, requiring a team approach. Whether it’s placing All-on-6 Implants for a fixed jaw or crowning every tooth to fix severe attrition, we plan every micron digitally. We use T-Scan technology to measure bite force, ensuring your new teeth meet perfectly, preventing headaches and fractures.
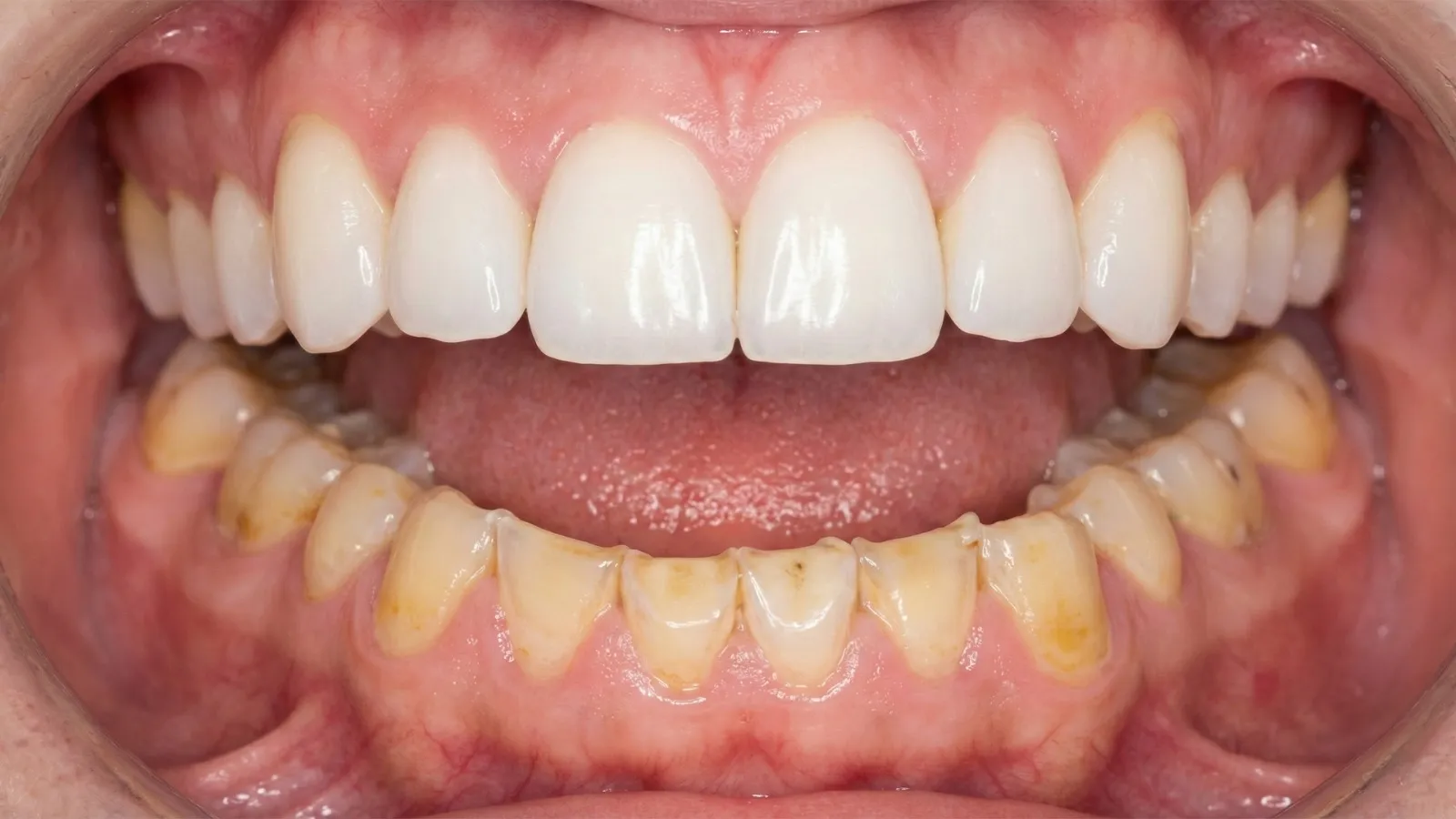
Full Mouth Rehabilitation (FMR) is the systematic rebuilding of all the teeth in both the upper and lower jaws. It is required when the mouth has collapsed due to severe wear, acid erosion, gum disease, or multiple missing teeth. It combines the science of Neuromuscular Dentistry (muscle & joint function) with the art of Cosmetic Dentistry to restore not just the smile, but the ability to eat pain-free.
Restores digestion (ability to chew fiber/protein).
Eliminates chronic jaw/neck pain and headaches.
Protects the jaw joint (TMJ) from degeneration.
Stops further bone loss in the jaw.
When teeth wear down, the lower third of the face shrinks, causing wrinkles and a 'grumpy' look. At Cosmo Radiance, our Prosthodontists specialize in restoring this lost Vertical Dimension . By rebuilding the teeth to their original height, we relax the jaw muscles, eliminate TMJ pain, and restore a youthful facial structure without plastic surgery.
We digitally balance your bite to 0.01mm precision, preventing chipping of new ceramics.
Captures the exact relationship of your jaw to your skull for accurate lab work.
You wear temporary teeth for weeks to 'test drive' the new bite and look before finals.
Led by Senior MDS Prosthodontists (The architects of dentistry).
01In-house ceramic lab for custom shading and quick adjustments.
02Use of monolithic Zirconia (unbreakable) for grinders.
03Comprehensive TMJ assessment included.
04Flexible payment plans for high-value treatments.
05Patients with severe tooth wear (short, flat teeth) from grinding (Bruxism).
Individuals with multiple missing teeth or failing old bridges.
Patients with 'Collapsed Bite' looking older than their age.
Those suffering from TMJ pain, clicking jaws, or chronic headaches.
Denture wearers wanting a fixed, permanent solution.
* Final candidacy is determined during a 3D Vectra H2 imaging consultation.
CBCT, T-Scan, and impressions to plan the bite.
Teeth preparation or Implant placement (1-3 days).
Wearing trial teeth for 2-4 weeks to test function.
Bonding/Screwing the final Zirconia teeth.
For patients with roots but worn/damaged crowns.
For patients with no teeth or failing teeth.
Mix of implants and natural teeth bridges.
Strong, budget-friendly, but opaque aesthetics.
Diamond-hard, biocompatible, excellent aesthetics.
Best for front teeth aesthetics, less for heavy biting.

Why settle for standard when you can have high-definition?
Full Mouth Rehab
Perfectly equilibrated
Treating One by One
Often unbalanced
Full Mouth Rehab
Uniform shade & shape
Treating One by One
Mismatched teeth
Full Mouth Rehab
Protects TMJ
Treating One by One
May strain TMJ
Full Mouth Rehab
Designed to last together
Treating One by One
Uneven wear rates
Starting Estimate
Package pricing available for Full Mouth Reconstruction.
*Final cost depends on BMI grading, treatment zones, and clinical complexity.
For computerized bite force analysis.
Physical simulators of jaw movement.
Digital impressions for precise crown fit.
24/7 Tertiary Care Backup & ICU Facility
Healing from surgery/prep. Soft diet. Mild soreness.
Trial phase with temporary teeth. Adjusting bite.
Final teeth placement (Implants need 3 months bone healing).
Night guard wear recommended to protect investment.
Strict soft diet during temporary phase to avoid breakage.
Protect porcelain from night grinding.
Use a Waterpik to clean under fixed bridges.
Prepare for multiple appointments over weeks/months.
Arrange soft diet options for the initial healing phase.
Bring old photos of your smile (to recreate natural look).
Discuss sedation options if you have dental anxiety.
Adaptation period (speech/chewing feels different for 2 weeks).
Muscle soreness as jaw adjusts to new position.
Root canal requirement (if deep wear exposes nerves).
Ceramic chipping (if night guard is not worn).
All FMR cases are planned and executed by MDS Prosthodontists (specialists in replacement/restoration).
We ensure the new bite position is compatible with your TMJ (Jaw Joint) to prevent chronic pain.
Hospital-grade asepsis for all implant and gum surgeries.
Transparent explanation of the treatment timeline (often 2-6 months) and costs.
Restoration of youthful facial height (anti-aging).
Pain-free chewing of hard foods.
Protection of remaining tooth structure.
Elimination of jaw joint (TMJ) pain.
Let our experts guide you through your transformation journey.